Kassen warnen vor riskanten Hüft- und Kniespritzen
Veröffentlicht: Dienstag, 19.08.2025 14:10

IGeL-Leistungen
Berlin (dpa) - Patientinnen und Patienten mit Schmerzen an Knie oder Hüfte sollten sich aus Sicht der Krankenkassen weniger auf Selbstzahler-Leistungen beim Arzt einlassen. Spritzen gegen Knie- oder Hüftgelenksarthrose verursachen mehr Schäden, als dass sie nutzen, wie der Medizinische Dienst Bund bei der Präsentation seines neuen IGeL-Monitors mitteilte. Hierzu zählen Gelenkentzündungen oder Herzbeschwerden. Die Schmerzreduktion sei hingegen so minimal, «dass sie klinisch nicht von Bedeutung ist».
IGeL steht für individuelle Gesundheitsleistungen in ärztlichen Praxen. Jedes Jahr geben gesetzlich Versicherte laut dem Medizinischen Dienst der Krankenkassen mindestens 2,4 Milliarden Euro dafür aus. Die Orthopädie gehört mit 397 Millionen Euro zu den drei umsatzstärksten Fachgebieten im IGeL-Markt, neben Augenheilkunde mit 544 Millionen und Gynäkologie mit 543 Millionen Euro.
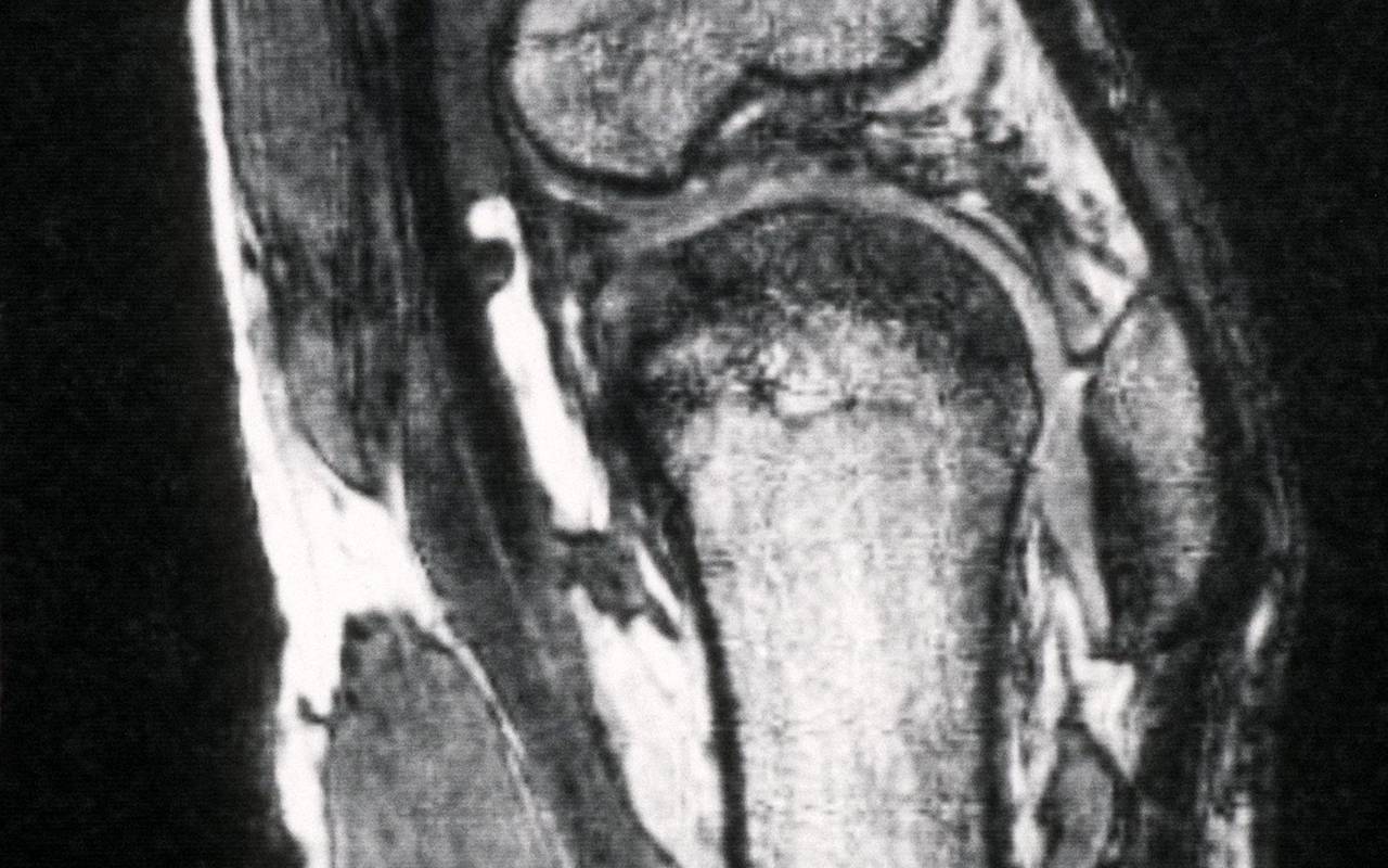
Spritzen bei Knie- und Hüftgelenksarthrose
Bei den Knie- und Hüftspritzen geht es um Injektionen mit Hyaluronsäure, die fehlende Gelenkflüssigkeit ausgleichen soll. Diese Spritzen kosten pro Behandlungszyklus zwischen etwa 220 und 300 Euro. Je nach verwendetem Präparat können aber auch 500 Euro und mehr fällig werden. Dabei überwiegen bei diesen Spritzen mögliche Schäden den Nutzen laut Medizinischem Dienst deutlich. Dies gehe aus zahlreichen Studien hervor, mit denen diese Injektionen seit über 50 Jahren bewertet würden, so der Medizinische Dienst.
Dass die Spritzen gefragt sind, liegt an der weiten Verbreitung der Arthrose und dem Fehlen einer heilenden Therapie. Schätzungsweise ist in Deutschland jede sechste Person zwischen 60 und 80 Jahren von einer Kniegelenks- und jede und jeder Zehnte von einer Hüftgelenksarthrose betroffen - bei Über-80-Jährigen deutlich mehr. Im Gegensatz zur Hyaluronsäure-Injektion werden mehrere Behandlungen, die die Schmerzen lindern und die Beweglichkeit verbessern sollen, von den Kassen übernommen - bis hin zu Gelenkersatz bei schwerer Arthrose.
Stoßwellen bei Schulterschmerzen
Auch Kalkschulter und Tennisarm treiben viele Patientinnen und Patienten in die Praxis. Die Sehnenerkrankungen beeinträchtigen Betroffene durch Schmerzen und verringerte Bewegungsfähigkeit. Hier wird ihnen oft Stoßwellentherapie angeboten, auch dies eine Selbstzahlerleistung. Und das, obwohl laut der Krankenkassen-Erhebung kaum aussagefähige Studien zu der Therapie vorliegen. Bringt Stoßwellentherapie etwas? «Unklar», lautete das Urteil des Medizinischen Dienstes.
Bilanz ernüchternd
Der IGeL-Monitor nimmt seit 2012 die verschiedenen angebotenen Therapien unter die Lupe. Nun zogen die Expertinnen und Experten ein ernüchterndes Fazit. Von 60 geprüften IGeL wurden 31 Leistungen negativ bewertet. Bei 26 ist das Ergebnis mangels ausreichender Studien unklar. Nur 3 Selbstzahlerleistungen schneiden mit tendenziell positiv ab.
«Wir brauchen Fakten statt Werbung»
Dass IGeL trotz der ernüchternden Schaden-Nutzen-Bilanz oft durchgeführt würden, liege an mangelhafter Information der Patientinnen und Patienten in vielen Praxen, sagte der Vorsitzende des Medizinischen Dienstes Bund, Stefan Gronemeyer. «Uns besorgt, dass die Patientinnen und Patienten in den ärztlichen Praxen oftmals nicht über das Schadensrisiko aufgeklärt werden», sagte Gronemeyer.
Zwei Neuregelungen fordert der Chef des Medizinischen Dienstes zur Eindämmung von IGeL. «Die Praxen sollten verpflichtet werden, unabhängig erstellte wissenschaftsbasierte Bewertungen und Informationen regelhaft anzubieten», verlangte Gronemeyer. «Darüber hinaus sollten IGeL nicht an dem Tag erbracht werden dürfen, an dem sie angeboten werden.» Die Betroffenen sollten Bedenkzeit haben.
Viele Versicherte denken laut einer Umfrage, die Leistungen seien sinnvoll, würden aber nicht mehr von den Kassen angeboten. «Das ist falsch», sagte Gronemeyer. Er kritisierte Nutzenversprechen durch Praxisflyer und -TV. An die Adresse niedergelassener Ärzte sagte Gronemeyer: «Wir brauchen Fakten statt Werbung in den Wartezimmern.»




